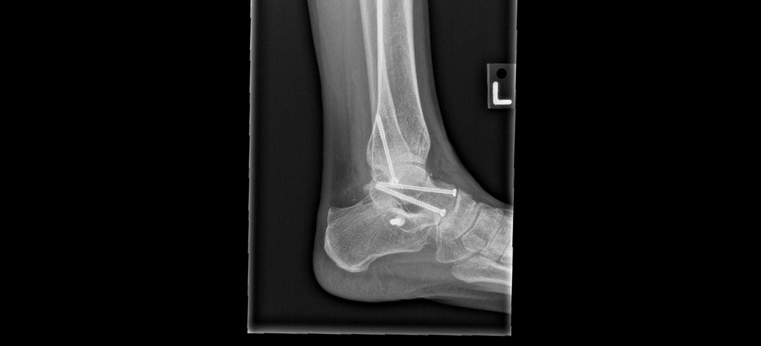
Four screws were used to repair the complex breaks in Martynka Wawrzynia’s ankle, leg, and heel.
Courtesy of Martynka Wawrzyniak
Martynka Wawrzyniak loves to keep her body moving. Her biggest passion is rock climbing and bouldering, though she also surfs and runs. After years of rock climbing, she decided to try ice climbing, which is climbing frozen waterfalls using ice axes and special boots fitted with crampons (sharp metal spikes).
On her fourth ice-climbing trip to Stony Clove Notch, a popular climbing locale in the Catskill Mountains, near Tannersville, New York, Wawrzyniak successfully completed an exhilarating climb. She took a break on a ledge when she dropped a glove. Trying to retrieve it, she slipped and fell two hundred feet, almost to her death, saving herself from falling onto a highway below by grabbing onto a tree and waiting to be rescued.
Wawrzyniak ended up breaking her talus, fibula, and calcaneus—bones in the ankle, leg, and heel—in her fall. After failing to find a local emergency department that was open on a Sunday afternoon upstate, she headed home to New York City. The following morning Wawrzyniak went to a local urgent care practice that sent her straight to NYU Langone’s emergency department, where she was referred to Nirmal C. Tejwani, MD, a professor in the Department of Orthopedic Surgery at NYU Grossman School of Medicine and site chief of NYU Langone Orthopedic Hospital.
In surgery, Dr. Tejwani placed four screws in Wawrzyniak’s ankle and heel to repair the complex breaks. Her leg was not able to bear any weight for eight weeks, and she was on crutches for four months. To learn how to walk again, she began physical therapy recovery as soon as possible at a Jag One physical therapy practice near her home in Greenpoint, Brooklyn. But even a year later, Martynka was still limping and had difficulty with the range of motion in her ankle, which was limiting her in her active lifestyle of climbing, surfing, and running.
Her search to improve her gait and mobility led her to Lauren E. Borowski, MD, assistant professor in the Department of Orthopedic Surgery and director of the Primary Care Sports Medicine Fellowship Program at NYU Langone Orthopedics. Dr. Borowski assessed her condition and referred her to the podiatrist James Johnson, DPM, clinical assistant professor in the Department of Orthopedic Surgery, who fitted her with custom orthotics, and for specialized physical therapy with Sarah Plumer-Holzman, PT, DPT, a climber herself, at Harkness Center for Dance Injuries, part of NYU Langone Orthopedic Hospital and Rusk Rehabilitation.
“When she came to me, I could see that Martynka is highly committed and highly motivated and smart about pushing herself,” Plumer-Holzman said. “She’s definitely at an elite level both in bouldering and in traditional and sport climbing, and bouldering in particular is hard, as it requires tremendous full body strength.”
Plumer-Holzman focused her physical therapy on Wawrzyniak’s foot first and then worked on her hip, where there was a compound injury resulting from many months of limping and improper gait. After working with Plumer-Holzman, Wawrzyniak saw improvements that allowed her to boulder even harder grades than before her fall. Her care team and her own determination led the way.
“I’m amazed at how far she’s come, and I credit her motivation and athletic conditioning for her remarkable recovery,” Dr. Tejwani said.
Dr. Borowski echoed that sentiment. “Martynka endured a traumatic accident and worked hard along her path to recovery,” she said. “It’s a testament to her hard work that she’s back climbing, surfing, and running.”
Martynka wants people to know that even after a traumatic injury, physical therapy can help them back to doing what they love.
“I want people to know that even when it seems impossible to even get back on your feet, physical therapy can help you work toward your goals, and maybe even get you stronger than you were before your injury,” she said.
Plumer-Holzman agrees. “It is absolutely worth taking the time to seek out a therapist who you feel is going to address your goals,” she said. “It’s often that last bit that gets you to 100 percent. We don’t want you to get to status quo. We want you to get your strength back better than before.”
Media Inquiries
Marlene Naanes
212-404-5016
Marlene.Naanes@NYULangone.org