Photo: STEVE GSCHMEISSNER/Getty
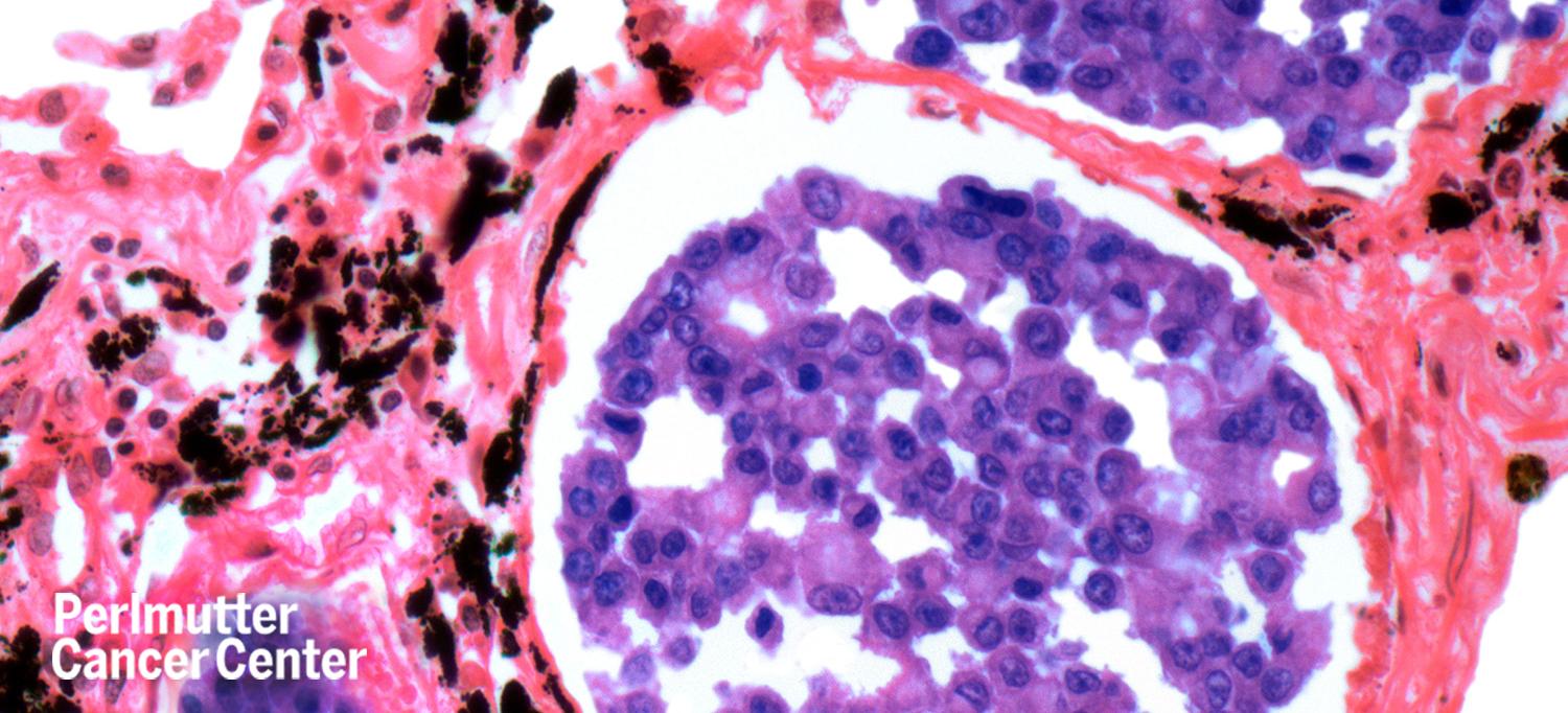
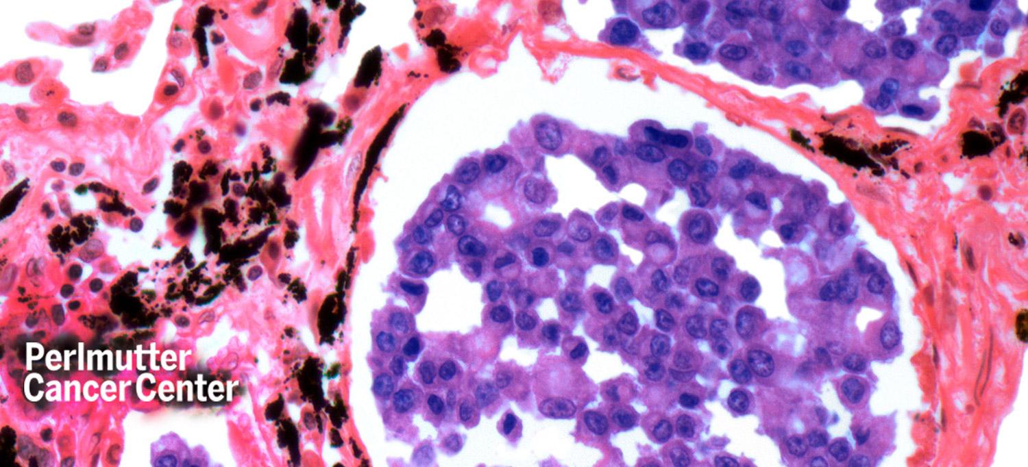
People with an aggressive form of non-small cell lung cancer that contains a rare genetic mutation called RET tend to have poorer survival rates and higher rates of brain metastases. Clinical trial results of a new lung and thyroid cancer drug called selpercatinib (Retevmo™) published in The New England Journal of Medicine showed that the drug blocks the RET mutation and stops cancer growth in more than 64 percent of people who previously received chemotherapy.
Vamsidhar Velcheti, MD, associate professor in the Department of Medicine and director of the Thoracic Medicine Oncology Program at NYU Langone Health’s Perlmutter Cancer Center, who co-authored the study, has used this treatment with many people since it first entered clinical trials. “The best thing about this drug is that the response rate is so high. I personally haven’t had any patients who did not respond to it,” Dr. Velcheti tells SurvivorNet. “It’s very exciting, but it’s still not a cure. When we treat patients with these very potent RET inhibitors, they tend to develop other gene mutations that make the drugs no longer work. We are trying to understand what kinds of mutations these patients develop that we could target with other drugs.”
Read more from SurvivorNet.