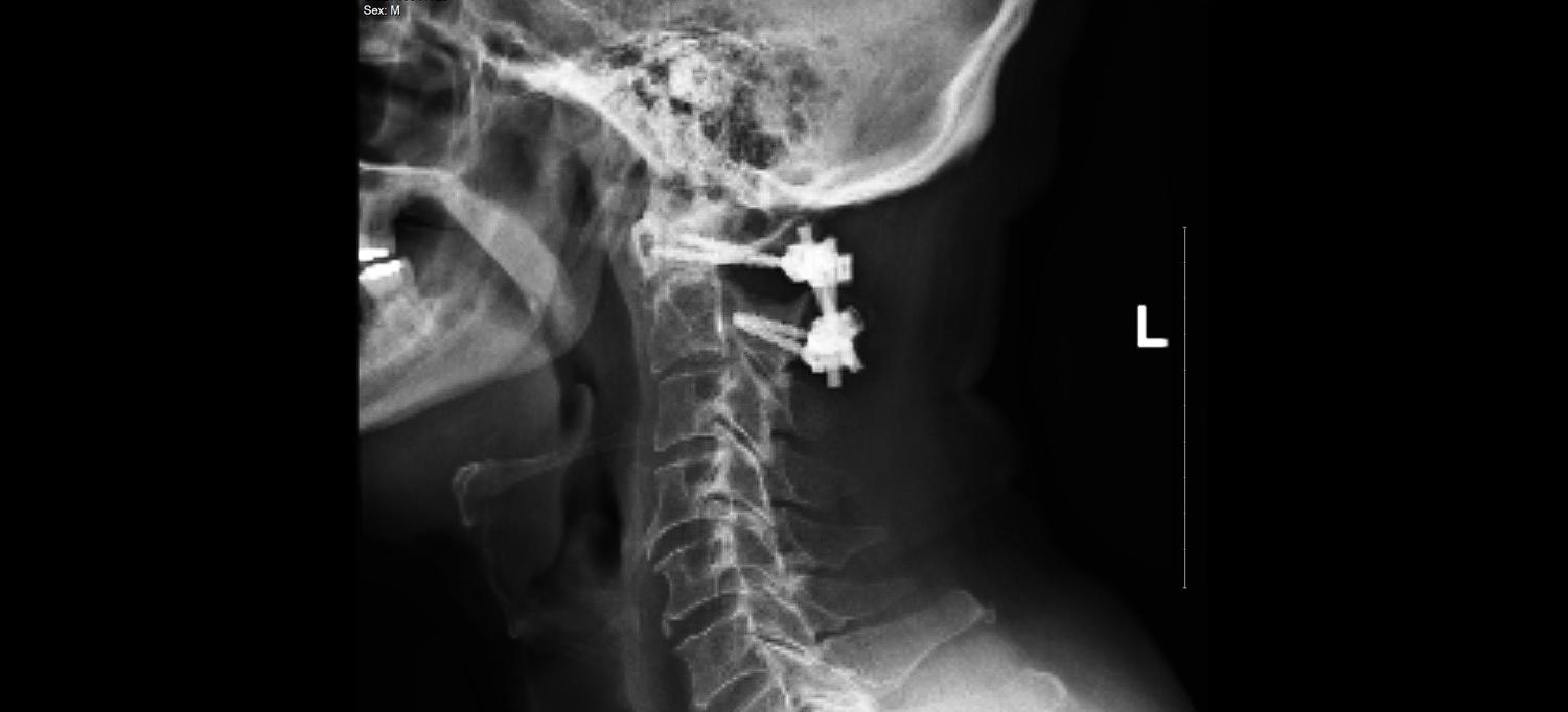
Instead of using the standard surgical repair for fractured vertebrae—spinal fusion—Dr. Kola Jegede stabilized Everson Gibson’s first and second cervical vertebrae with screws and rods until they healed, enabling Gibson to regain full range of motion in his neck.
On the night before Thanksgiving in 2022, Everson Gibson was climbing the stairs inside his home in St. Albans, Queens, when his stocking feet suddenly slipped on a hardwood step, causing him to fall backward. “When I stood up,” says the 69-year-old administrator for a human services agency, “I couldn’t flex my neck, and I felt dizzy.”
At the Emergency Department of Jamaica Hospital Medical Center, Gibson was diagnosed with a fracture of the second cervical vertebra, C2, and given a collar to stabilize his neck. He was referred to Kola Jegede, MD, assistant professor in the Department of Orthopedic Surgery at NYU Grossman School of Medicine, who consults at the hospital.
“The second vertebra has a bony extension, and the first vertebra is a ring that fits on that peg,” notes Dr. Jegede, who is director of quality and patient safety at NYU Langone Hospital—Brooklyn. “This allows our head to rotate, but it’s vulnerable to fractures.” He explained to Gibson that the standard surgical repair involves fusing the two vertebrae, but this results in a 50 percent loss of rotation, making it difficult to perform routine activities, such as driving a car.
Instead, Dr. Jegede proposed a nonfusion approach called fracture fixation. Realigning Gibson’s first and second cervical vertebrae, he would fasten them with screws and rods, then remove the hardware when the fracture had healed, one year later.
Dr. Jegede explained to Gibson that without surgery, the misaligned vertebrae would continue to drift apart, causing a lifetime of pain and dysfunction; with surgery, he would regain full range of motion. “I had confidence in Dr. Jegede because he involved my family in the discussion,” says Gibson. “His approach was very soothing.”
“I had confidence in Dr. Jegede because he involved my family in the discussion. His approach was very soothing.”
—Everson Gibson
Dr. Jegede performed the three-hour surgery on January 6, 2023, at NYU Langone’s Kimmel Pavilion. The surgery stabilized Gibson’s first and second cervical vertebrae with screws and rods until they healed, enabling Gibson to regain full range of motion in his neck.
Gibson went home two days later, with no physical therapy required. “I’m back to jogging and doing yard work, which are pleasures for me,” says Gibson, who now wears nonskid socks.
Learn more about spine health from our experts in Your Spine: An Operator's Manual.